〒560-0002 大阪府豊中市緑丘1丁目4−1

  日祝
9:30~13:00 × ×
15:00~19:00 × ×

休診日:木曜・日曜・祝日  ◎:矯正診療日

06-6849-0648

レジン充填の治療内容


レジン充填とは、できるだけ健全な歯質を削らずに虫歯の穴だけを白いレジン(樹脂)で埋める治療です。

MI(ミニマルインターベーション)といって、最小の侵襲で最大の効果を得ることを目指すことができます。

現在、レジンの接着・強度・耐摩耗性が向上しており、臼歯部の隣接面(2級窩洞)にも使用可能です。

当院ではフッ素徐放性のレジンを使用しており、虫歯(2次カリエス)予防効果も期待できます。


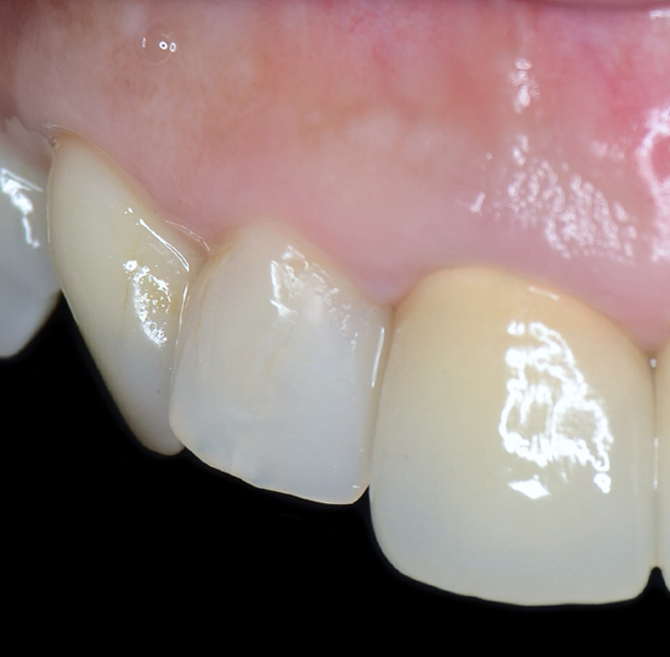
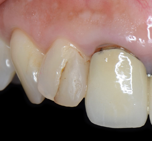
レジン充填の治療例

レ充2術前.jpg
レ充2術後.jpg

右上側切歯(2番目の歯):古いレジンの周囲にできた虫歯⇒レジン充填


レジン充填の治療例

レ充3術前.jpg
レ充3術後.jpg

右上第一小臼歯(5番目の歯):古い銀のつめ物の周囲にできた虫歯⇒レジン充填


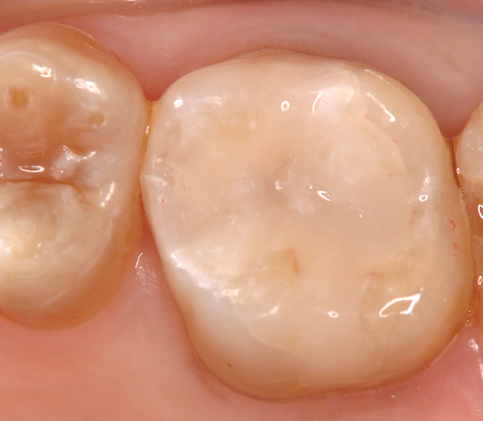
レジン充填の治療例

レ充4術前.jpg
レ充4術後.jpg

左上第一大臼歯(6番目の歯):古い銀のつめ物の周囲にできた虫歯⇒レジン充填


お問合せ・ご相談はこちら

お電話でのお問合せ・ご相談はこちら
06-6849-0648

院長 岡本憲明(阪大卒・歯学博士)
(日本補綴歯科学会 正会員)

副院長 岡本晴奈(阪大卒・歯学博士)
(日本矯正歯科学会認定医)

 
09:30~13:00 ×
15:00~19:00 ×

休診日:木・日・祝 ◎:矯正日

大阪府豊中市緑丘のおかもと歯科・矯正歯科クリニックでは、歯並び、虫歯、歯周病などの患者さんの悩みを解決するため、矯正歯科、小児歯科、予防歯科、虫歯治療、歯周病治療、審美歯科、ホワイトニング、クリーニングなどの治療をひとりひとり丁寧に行っております。お気軽にご相談下さい。

おかもと歯科矯正歯科ロゴ.jpg

お気軽にお問合せください

おかもと歯科矯正歯科ロゴ.jpg

お電話でのお問合せ

ゼロムシバ
06-6849-0648

診療時間:9:30~13:00
15:00~19:00

休診日:木・日・祝

おかもと歯科・
矯正歯科クリニック

住所

〒560-0002
大阪府豊中市緑丘1丁目4−1
イオン向かい
阪急「緑丘」バス停前
有り(車2台、自転車3台)

診療時間
休診日

休診日:木・日・祝
◎:矯正日