〒560-0002 大阪府豊中市緑丘1丁目4−1

  日祝
9:30~13:00 × ×
15:00~19:00 × ×

休診日:木曜・日曜・祝日  ◎:矯正診療日

06-6849-0648

歯周形成外科の治療内容


歯周形成外科の治療では、歯肉の形を整えて審美性と清掃性を改善することを目指します。

結合組織移植(CTG)は、歯肉の不足した部位に結合組織を移植する処置です。

歯冠長延長術は、深い虫歯の部位にかぶさった歯肉を切除する処置です。

治療内容は歯周組織や歯の状態によって異なります。


結合組織移植(CTG)の治療例

MB3術前.jpg
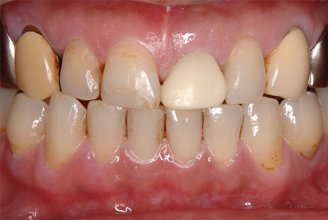
MB3術後.jpg
MB3術前術後.jpg

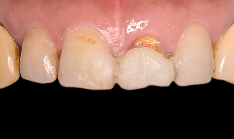
術前の問題点
  ・左上中切歯の歯肉の厚みが不足しています。
  ・スマイルラインが凸凹しています。
  ・歯の幅の比率がバラバラです。

 

術後の改善点
  ・左上中切歯の歯肉の厚みが増加しています。
  ・スマイルラインが綺麗なアーチをしています。
  ・歯の幅の比率が適正になっています。

MB3術前.jpg

 上顎②①1②前装冠ブリッジが脱離していました。

CTG前1.jpg

脱離していた左上2のメタルコア(土台)を再製しました。 

CTGオペ前.jpg

理想的な形態の仮歯を作り装着しました。

CTG前3.jpg

仮歯と歯肉に不自然な段差ができています。

このままでは清掃性と審美性の悪い状態です。

CTG前2.jpg

欠損部歯槽堤の歯肉がへこんでいるのが原因です。

Seibertの分類.jpg

欠損部歯槽堤の分類ではClassⅠです。  

歯肉の頬舌的な幅が不足しています。

Maynardの分類.jpg

骨と歯肉の厚みの分類ではType4です。   

歯肉の厚みが不足しています。

歯肉の厚みを増加させてType3にすると、

歯肉退縮のリスクも軽減します。

CTGオペ後.jpg

そこで欠損部歯槽堤の頬側にパウチ(袋)切開を行い、

口蓋部から採取した結合組織を移植して縫合しました。

CTG後2.jpg

オペ後100日目です。

欠損部の歯肉の厚みが頬舌的に増えています。

CTG後1.jpg

仮歯のポンティック基底面に即時重合レジンを盛り足し、

オベイドポンティックの形態に歯肉の形を整えました。

CTG後3.jpg

仮歯と歯肉の段差がなくなり移行的になっています。

隣在歯との歯頚部の立ち上がりも相似形です。

清掃性と審美性が良好な状態を確認しました。

CTG印象1.jpg

オペ後5ヶ月目でシリコン印象をしました。

CTG印象2.jpg

きれいにマージン(かぶせ物の境界線)が出ています。

CTG模型.jpg

作業模型でもマージンが明瞭にわかります。

精密な模型から綺麗なブリッジが製作できます。

CTG補綴物.jpg

上顎②①1②メタルボンド・ブリッジのポンティック基底面は

プラークが付着しにくいセラミックで仕上げました。。

MB3術中.jpg

メタルボンド・ブリッジのセット直前です。

MB3術後.jpg

メタルボンド・ブリッジが完璧にフィットします。

ポンティック部の歯肉は一時的に貧血帯を示しますが、

10分くらいで落ち着きます。

歯冠長延長術の治療例

MB5術前.jpg
MB5術後.jpg

MB5術前術後.jpg

術前の問題点
  ・深い虫歯が歯肉の炎症を起こしています。
  ・左右の歯肉の高さが不揃いです。
  ・歯の傾きのバランスがとれていません。
  ・歯間乳頭と歯に黒い隙間があります。

 

術後の改善点
  ・歯肉の形が整えられ炎症がなくなっています。
   ・左右の歯肉の高さが揃っています。
  ・歯の傾きのバランスがとれています。
  ・歯間乳頭と歯に黒い隙間が縮小しています。         


MB5術前.jpg

古いかぶせ物の周囲に虫歯がありました。

デンタル術前.jpg
レントゲンを撮影して確認すると、
 
右上中切歯のメタルコア(土台)の下まで、
 
虫歯(2次カリエス)が進んでいます。
MB5術中1.jpg

左右中切歯のかぶせ物を外して確認しました。

右上中切歯の虫歯が深く、骨縁下まで及んでいます。

生物学的幅径を侵襲(いわゆる深爪の状態)しているため、

歯肉の炎症がなかなか治りません。

MB5術中2.jpg

仮歯を装着しました。

MB5術中3.jpg

生物学的幅径を確保するために歯冠長延長術を行い、

歯肉の高さが揃うように歯肉の形を整えました。

MB5術中4.jpg

メタルコア(土台)を再製しました。

MB5術中5.jpg

左右中切歯にメタルボンド(セラミック)を装着しました。

隣接面間距離と歯冠乳頭高径の関係.jpg

歯冠乳頭(歯間の歯肉)は骨の高さから4.5mmまで、

クリーピング(歯肉の成長)すると言われています。

MB5術中6.jpg

オペ6ヵ月後、正中の歯間乳頭(歯と歯の間の歯肉)が、

クリーピング(歯肉の成長)していることを確認しました

審美性が改善されています。


歯冠長延長術の治療例

MB6術前.jpg
MB6術後.jpg

MB6術前術後2.jpg

術前の問題点
  ・左右中切歯の歯肉の高さが不揃いです。
  ・歯の幅が左右非対称です。

 

 

 

術後の改善点
  ・左右中切歯の歯肉の高さが揃っています。
  ・歯の幅の比率が適正になっています。


デンタル2.jpg

 打撲により左上中切歯が骨縁下まで破折していました。

デンタル3.jpg

MTM(小矯正)で破折した歯を挺出させます。

MB6術中1.jpg

MTM(小矯正)のために隣在歯にワイヤーを接着し、
矯正用ゴムで破折歯を引っ張りました。

MB6術中2.jpg

 MTM(小矯正)が終了した状態です。

MB6術中3.jpg

新たにメタルコア(土台)を装着しました。

MB6術中4.jpg

仮歯をセットしましたが、
左右の中切歯の大きさの不揃いが目立ちます。

MB6術中5.jpg

左右の中切歯を左右対称にするためには、

右上中切歯の近心にレジン充填を行い、

左上中切歯は歯冠長延長術後に補綴が必要です。

MB6術中6.jpg

歯冠長延長術で左右中切歯の歯肉の高さを揃えました。

MB6術中7.jpg

右上中切歯の近心にレジン充填を行い、

左上中切歯に仮歯を調整して装着しました。

MB6術中8.jpg

左上中切歯にメタルボンド(セラミック)を装着しました。


お問合せ・ご相談はこちら

お電話でのお問合せ・ご相談はこちら
06-6849-0648

院長 岡本憲明(阪大卒・歯学博士)
(日本補綴歯科学会 正会員)

副院長 岡本晴奈(阪大卒・歯学博士)
(日本矯正歯科学会認定医)

 
09:30~13:00 ×
15:00~19:00 ×

休診日:木・日・祝 ◎:矯正日

大阪府豊中市緑丘のおかもと歯科・矯正歯科クリニックでは、歯並び、虫歯、歯周病などの患者さんの悩みを解決するため、矯正歯科、小児歯科、予防歯科、虫歯治療、歯周病治療、審美歯科、ホワイトニング、クリーニングなどの治療をひとりひとり丁寧に行っております。お気軽にご相談下さい。

おかもと歯科矯正歯科ロゴ.jpg

お気軽にお問合せください

おかもと歯科矯正歯科ロゴ.jpg

お電話でのお問合せ

ゼロムシバ
06-6849-0648

診療時間:9:30~13:00
15:00~19:00

休診日:木・日・祝

おかもと歯科・
矯正歯科クリニック

住所

〒560-0002
大阪府豊中市緑丘1丁目4−1
イオン向かい
阪急「緑丘」バス停前
有り(車2台、自転車3台)

診療時間
休診日

休診日:木・日・祝
◎:矯正日