〒560-0002 大阪府豊中市緑丘1丁目4−1

  日祝
9:30~13:00 × ×
15:00~19:00 × ×

休診日:木曜・日曜・祝日  ◎:矯正診療日

06-6849-0648

審美歯科の治療内容


何歳になっても口元の見た目は綺麗にしていたいものです。
審美歯科の治療では、審美性だけでなく機能性や清掃性も重視した仕上がりを目指します。
白いかぶせ物には、メタルボンド、ジルコニア、レジン前装冠の3種類があります。
メタルボンドは、セラミックのかぶせ物です。補強のため裏側に金属を使用しています。
ジルコニアは、オールセラミックのかぶせ物・つめ物です。金属を使用していません。
レジン前装冠は、保険適応のプラスチックのかぶせ物です。補強のため裏側に金属を使用しています。
療内容は虫歯や歯周病の状態によって異なります。


かぶせ物の比較.jpg

かぶせ物の比較

  適合 強度 審美 保険

銀歯

×

レジン前装冠

×
ゴールド   × ×
ジルコニア ×
メタルボンド ×
詰め物の比較.jpg
つめ物の比較
  適合 強度 審美 保険
×
レジン ×
ジルコニア ×

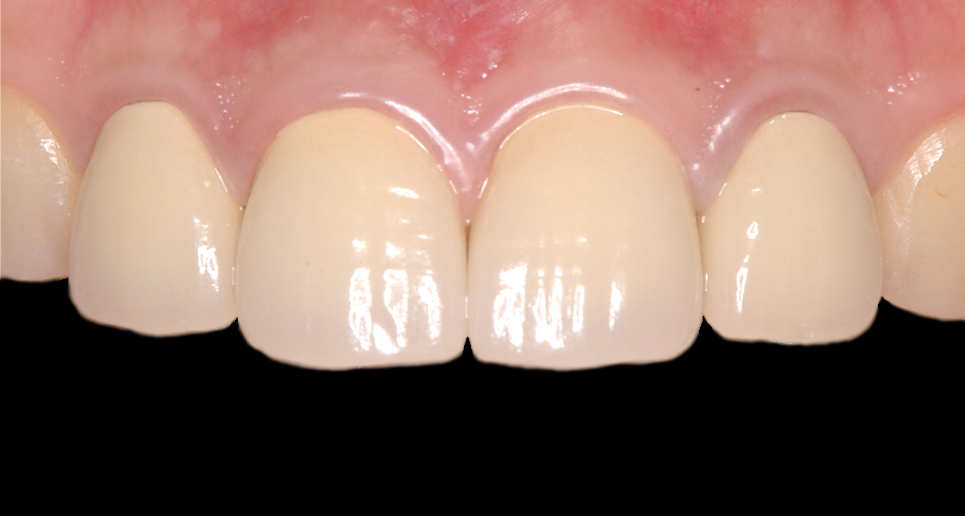
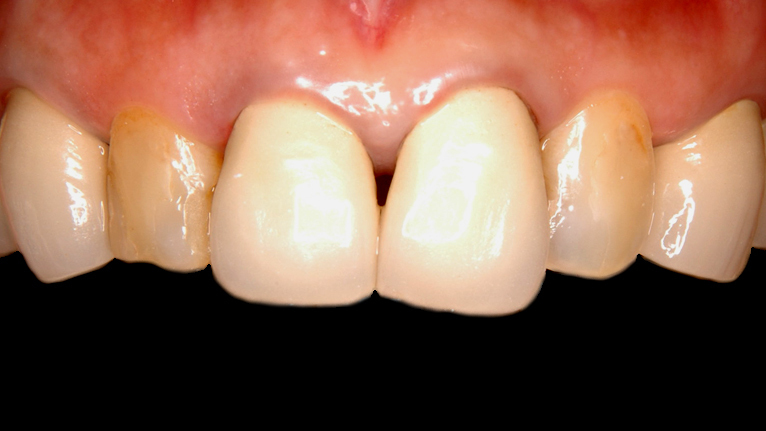
メタルボンドの治療例

MB8術前.jpg
MB8術後.jpg

患者さんは古いかぶせ物の虫歯を気にして来院しました。

①上顎左右中切歯にメタルボンド(セラミック)をセットしました。


メタルボンドの治療例

MB7術前.jpg
MB7術後.jpg

患者さんは古いかぶせ物の虫歯を気にして来院しました。

①右上側切歯~左上側切歯の4本にメタルボンド(セラミック)をセットしました。


メタルボンド+レジンの治療例

MB2術前.jpg
MB2術後.jpg

患者さんは古いつめ物とかぶせ物の虫歯を気にして来院しました。

①右上側切歯にレジン充填を行って色と形を改善しました。

②右上中切歯〜左上側切歯の3本にメタルボンド(セラミック)をセットしました。


メタルボンド+歯周形成外科+ホワイトニングの治療例

MB5術前.jpg
MB5術後.jpg

患者さんは歯の着色と古いかぶせ物の形を気にして来院しました。

①上顎左右中切歯の歯肉の形を歯周形成外科で整えて、左右の歯肉の高さを揃えました。

②上顎左右側切歯をホワイトニングで漂白しました。

③上顎左右中切歯にメタルボンド(セラミック)をセットしました。


メタルボンド+MTM+歯周形成外科+レジンの治療例

MB6術前.jpg
MB6術後.jpg

患者さんは前歯を打撲して歯が破折したため来院しました。

①左上中切歯の破折した歯根をMTM(小矯正)で挺出させました。

②左上中切歯の歯肉の形を歯周形成外科で整えて、左右の歯肉の高さを揃えました。

③右上中切歯をレジン充填で形態修正して、左右の歯冠幅径(歯の幅)を揃えました。

④左上中切歯にメタルボンド(セラミック)をセットしました。


メタルボンド+再生療法+MTMの治療例

MB4術前.jpg
MB4術後.jpg

患者さんは古いかぶせ物の根が露出していることと歯がグラグラすることを気にして来院しました。

①右上側切歯の垂直性骨欠損(歯周病で溶けた骨)に対して、

 エムドゲイン(骨再生を促す薬)塗布による再生療法を行いました。

エムドゲインゲル.jpg

②左上側切歯をMTM(小矯正)で挺出させて、歯肉の高さを揃えました。

③右上側切歯〜左上犬歯の5本にメタルボンド(セラミック)をセットしました。

MB4.jpg

メタルボンド・ブリッジ+歯周形成外科の治療例

MB3術前.jpg
MB3術後.jpg

患者さんは古いブリッジの色と形を気にして来院しました。

①左上中切歯の欠損部に歯周形成外科で結合組織を移植して、歯肉の厚みを改善させました。

②右上側切歯〜左上側切歯の4本にメタルボンド(セラミック)ブリッジをセットしました。


メタルボンド・ブリッジ+歯槽堤保存術の治療例

MB1術前.jpg
MB1術後.jpg

患者さんは歯がグラグラして前に倒れてきたことを気にして来院しました。

①右下中切歯(重症な歯周病)を抜歯した後、歯槽堤保存術(歯肉がやせるのを防ぐ処置)を行いました。

②右下側切歯~左下側切歯の4本にメタルボンド(セラミック)ブリッジをセットしました。


ジルコニア・クラウンの治療例

ジル2術前.jpg
ジル2術後.jpg
ジル2.jpg

患者さんは古い金属のかぶせ物の色を気にして来院しました。

①右上第一大臼歯にジルコニア(強化セラミック)クラウンをセットしました。


ジルコニア・クラウンの治療例

ジル1術前.jpg
ジル1術後.jpg
ジル1.jpg

患者さんは古い金属のかぶせ物の色を気にして来院しました。

①右上第一大臼歯にジルコニア(強化セラミック)クラウンをセットしました。


ジルコニア・インレー+レジンの治療例

ジル3術前.jpg
ジル3術後.jpg
ジル3.jpg

患者さんは古い金属のつめ物の色を気にして来院しました。

①右上第一小臼歯の古い金属のつめ物をレジン充填でやり直しました。

②右上第二小臼歯にジルコニア(強化セラミック)インレーをセットしました。


レジン前装冠+歯周外科の治療例

前装冠2術前.jpg
前装冠2術後.jpg

患者さんは古いかぶせ物の虫歯と歯周病を気にして来院しました。

①右上犬歯〜左上側切歯の歯周ポケットを歯周外科で改善させました。

②右上犬歯〜左上側切歯の5本にレジン前装冠(プラスチック)をセットしました。


レジン前装冠+歯周外科の治療例

前装冠1術前.jpg
前装冠1術後.jpg

患者さんは古いかぶせ物の虫歯と歯周病を気にして来院しました。

①右上側切歯〜左上犬歯の歯周ポケットを歯周外科で改善させました。

②右上側切歯〜左上犬歯の5本にレジン前装冠(プラスチック)をセットしました。


お問合せ・ご相談はこちら

お電話でのお問合せ・ご相談はこちら
06-6849-0648

院長 岡本憲明(阪大卒・歯学博士)
(日本補綴歯科学会 正会員)

副院長 岡本晴奈(阪大卒・歯学博士)
(日本矯正歯科学会認定医)

 
09:30~13:00 ×
15:00~19:00 ×

休診日:木・日・祝 ◎:矯正日

大阪府豊中市緑丘のおかもと歯科・矯正歯科クリニックでは、歯並び、虫歯、歯周病などの患者さんの悩みを解決するため、矯正歯科、小児歯科、予防歯科、虫歯治療、歯周病治療、審美歯科、ホワイトニング、クリーニングなどの治療をひとりひとり丁寧に行っております。お気軽にご相談下さい。

おかもと歯科矯正歯科ロゴ.jpg

お気軽にお問合せください

おかもと歯科矯正歯科ロゴ.jpg

お電話でのお問合せ

ゼロムシバ
06-6849-0648

診療時間:9:30~13:00
15:00~19:00

休診日:木・日・祝

おかもと歯科・
矯正歯科クリニック

住所

〒560-0002
大阪府豊中市緑丘1丁目4−1
イオン向かい
阪急「緑丘」バス停前
有り(車2台、自転車3台)

診療時間
休診日

休診日:木・日・祝
◎:矯正日